牙齿健康非常重要,我们要养成每天按时刷牙的习惯,保证口腔健康。如果长时间不注意按时刷牙、正确刷牙的话,是很容易产生牙结石的,最终就会影响牙齿健康,还会容易有口气。那么我们自己在家有什么办法可以清除掉牙结石呢?
自己在家怎样有效去除牙结石

小苏打用在牙齿表面可以有效去除坚硬的牙垢和牙垢。将小苏打与适量的水混合刷牙,用冷水漱口。
2.白醋将白醋放入口中三到五分钟,然后让醋在口中“流动”来回冲洗。时间到了,把醋吐出来,用牙刷蘸点盐刷牙,去除牙垢。不过这种方法只适合牙垢较淡的朋友。白醋中的醋酸能溶解牙垢。
3.草莓泡打粉将草莓和泡打粉一起使用可以去除牙结石。将草莓搅拌成糊状,与半勺发酵粉混合。混合后,用牙刷蘸一些,然后涂在牙齿上。等待五分钟,然后用牙刷刷掉。就是这样。漱口后,你会发现牙齿干净多了,牙垢也没有了!
4.明矾粉普通明矾一般都是买大块的,可以买回粉或者买明矾粉。用明矾粉刷牙可以有效去除黄牙垢和牙垢,每天坚持两次,相信牙垢也可以慢慢去除!
5. 红糖取出一块红糖,放入口中十分钟,直到红糖完全融化并浸入牙齿中。用较硬的牙刷刷牙两到三分钟,然后用淡盐水刷牙两分钟。这个方法每天早晚各用一次,坚持一周就可以祛除牙结石!
不想洗牙怎么去牙结石

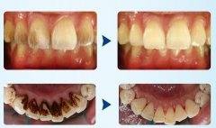
如果不想洗牙,牙结石是没有办法去除的。首先,不要拒绝洗牙,因为有很多先进的器械可以实现无痛微创洗牙。现在使用一些先进的牙周治疗器械清洁牙齿的费用会更高,一般在1000元左右,但整个治疗的效果非常明显。有些牙周治疗仪还可以把牙龈下的牙垢清洗的很干净,而且不需要麻醉,整个过程很舒服。之所以拒绝洗牙是因为洗牙过程中会很痛。洗完牙后会觉得不舒服,牙齿有缝隙。但是如果不洗牙,牙垢的堆积会刺激牙龈,导致牙龈萎缩,牙齿之间的缝隙越来越大。因此,必须积极洗牙进行牙周治疗。
牙结石靠刷牙有用吗

单纯刷牙是很难将牙结石去掉的,牙结石紧贴牙颈,用牙刷刷牙是不可能刷掉的。 去除牙结石,建议到正规医院的口腔科或大医院的牙周科进行牙周治疗。牙结石的形成需要一定的时间,当牙结石刚形成还没有矿化时,这个时候刷牙是最好的去除牙结石的方法。 因此,养成早晚刷牙、饭后漱口的好习惯, 是生活中预防牙结石的重要途径。
转载请注明出处。
相关文章







精彩导读
热门资讯